Casa Nóticias Homem identifica tumor no pulmão após apresentar sintoma inusitado nas unhas; CONFIRA

Homem identifica tumor no pulmão após apresentar sintoma inusitado nas unhas; CONFIRA

por admin
0 comentário


Um homem de 73 anos passou anos sem dar importância à mudança na aparência das unhas até descobrir que este era o sinal de um tumor comprimindo seus pulmões e coração. O caso foi reportado no Journal of Medical Case Reports, em 11 de dezembro.

Unhas amareladas geralmente são consideradas problemas estéticos, relacionados a infecções por fungos ou deficiência de vitaminas. No entanto, essas alterações também podem indicar problemas de saúde mais graves, como alterações hormonais, diabetes, doenças do coração e pulmões e câncer.

Síndrome da unha amarela
O homem, que não teve o nome revelado, tinha a síndrome da unha amarela, uma doença muito rara, de origem desconhecida, que consiste na presença de unhas amarelas, linfedema e derrame pleural.

O paciente percebeu que as unhas das mãos e dos pés começaram a ficar amareladas, grossas e quebradiças. Paralelamente a isso, o homem também passou a sofrer com falta de ar e inchaço nas pernas.

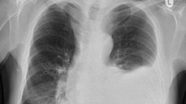
Radiografias de tórax revelaram um quadro de quilotórax, caracterizado pelo acúmulo de líquido leitoso entre as camadas que revestem os pulmões, chamadas de pleuras. Isso acontece quando o sistema linfático, responsável por drenar o excesso de fluidos do corpo, é interrompido.

Exames mais detalhados mostraram um tumor benigno comprimindo os pulmões. O caroço tinha 7 cm e pressionava o ducto torácico — um importante vaso linfático — impedindo que o fluido saísse do corpo.

“A complexidade da fisiopatologia subjacente à síndrome das unhas amarelas e a falta de diretrizes de tratamento demonstram a necessidade de mais pesquisas sobre esse distúrbio raro”, escreveram os médicos no relato do caso.

Tratamento
O paciente foi submetido a uma embolização linfática percutânea, um procedimento minimamente invasivo que interrompe o vazamento de fluido ao fechar os vasos linfáticos com problemas.

As unhas foram tratadas com creme de vitamina E e suplementos de zinco para promover um crescimento mais saudável. O inchaço das pernas foi resolvido com bandagens compressivas e terapia de drenagem manual.

Fonte: Metrópoles



Source link

Você pode gostar também

Design sem nome (84)

Sua fonte de notícias para brasileiros nos Estados Unidos.
Fique por dentro dos acontecimentos, onde quer que você esteja!

TV BRAZIL USA- All Right Reserved. Designed and Developed by STUDYO YO