Home Nóticias Mulher fica gravemente ferida após brinquedo sexual ser ‘arrastado para dentro de seu corpo’ durante ressonância magnética

Mulher fica gravemente ferida após brinquedo sexual ser ‘arrastado para dentro de seu corpo’ durante ressonância magnética

by admin
0 comentário


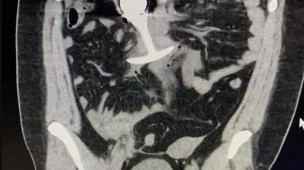
Apesar da preocupação gerada, ainda há falta de clareza sobre o nível exato de lesões sofridas pela paciente, que não retornou os contatos médicos subsequentes para acompanhamento. O caso gerou debate nas redes sociais sobre a importância de seguir protocolos rigorosos antes de realizar exames de RM. Além disso, especialistas alertam para que, durante o procedimento, nenhum objeto metálico esteja no corpo do paciente, como brinquedos sexuais, próteses ou fragmentos metálicos.



Source link

You may also like

Design sem nome (84)

Sua fonte de notícias para brasileiros nos Estados Unidos.
Fique por dentro dos acontecimentos, onde quer que você esteja!

TV BRAZIL USA- All Right Reserved. Designed and Developed by STUDYO YO